Ditt perfekta leende.

Nytt leende och ett hälsosamt bett med osynlig tandställning!

0 +
Patienter
0 +
Års erfarenhet
0 +
Implantat

Vad är en osynlig tandställning?

En osynlig tandställning är transparent och används för att korrigera tänder och bett. De orsakar inte allergier och skadar inte munslemhinnan.

En osynlig tandställning är bekväm att bära och kan tas bort innan en måltid för att sedan sättas på plats igen. Vid denna tidpunkt förvarar du dina tandställning i en låda. Tack vare att tandställningen är osynlig kommer människor runt omkring dig inte att märka att du genomgår en tandreglering.

Fördelar med behandlingen med osynlig tandställning

Helt osynlig på tänderna

Skadar inte munslemhinnan

Skadar inte tandemaljen

Har hög komfort

Påverkar inte uttalet

(t.ex. ingen läspning, inget mumlande)

Påverkar inte dina resor och möten

Innebär inga begränsningar i din livsstil

Varför är osynliga skenor bättre än traditionell räls?

Osynliga skenor Traditionell räls Lingual tandställning
Synliga för andra?
Osynliga från ett avstånd av 30 cm
Synliga
Osynliga
Kan jag få tandvård under behandlingen?
Fullt möjligt
Begränsad möjlighet med denna tandställning på tänderna
Begränsad möjlighet med denna tandställning på tänderna
Är behandlingen smärtsam?
Smärtfri
Tandens emalj kan påverkas
Tandens emalj kan påverkas
Fungerar behandlingen för idrottsmän?
Ja, även för boxare
Vissa begränsningar
Vissa begränsningar
Frekvens för kontroller
1–2 månader
Vanligen 2–3 veckor
Vanligen 2–3 veckor

Så fungerar det!

  • Konsultation hos tandläkaren

  • Digitala avtryck

  • Digital behandlingsplan

  • Tillverkning av din osynliga tandställning

  • Inpassning av dina osynliga skenor

  • Ditt perfekta leende

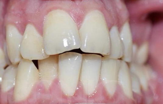
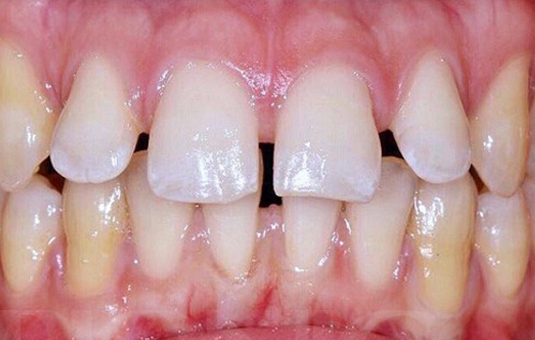
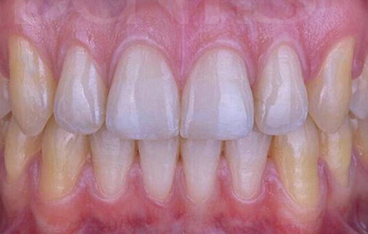
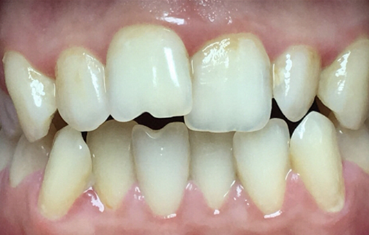
Före & efter

Virtuell 3D behandlingsplan

En virtuell behandlingsplan med ditt nya leende skapas. Skicka oss ett Whats App
meddelande så sänder vi dig ett exempel på en virtuell behandlingsplan!

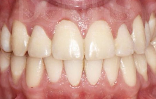
Trångställning

  • 26 osynliga skenor
  • Behandlingstid 6 månader

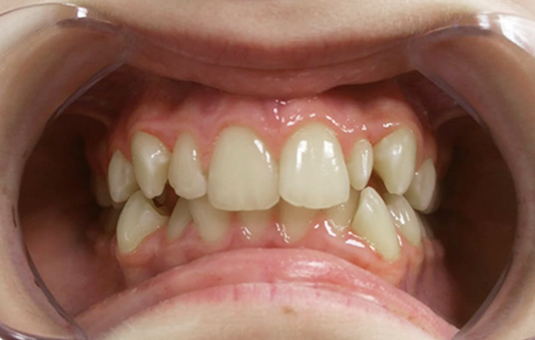
Diastema (gluggar mellan tänderna)

  • 27 osynliga skenor
  • Behandlingstid 8 månader

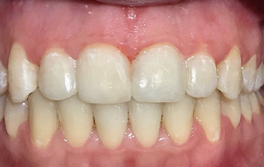
Trångställning

  • 26 osynliga skenor
  • Behandlingstid 6 månader